ThyLA DUAL 甲状腺结节激光消融系统
甲状腺良性结节
超声引导下 ThyLA DUAL 光纤热消融甲状腺结节。可以保留腺体功能,3个月结节体积缩小50%,无疤痕,局麻操作。
甲状腺癌(以乳头状癌为主)
适应于低危甲状腺微小乳头状癌,肿瘤直径≤1cm且无淋巴结转移或无法耐受手术的患者。双波长(980nm+1470nm)适应不同质地结节,避免喉返神经损伤(Liang et al., 2023)。

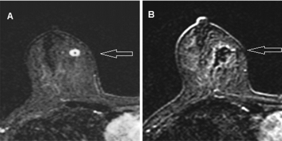
乳腺结节
激光消融技术用于乳腺结节的治疗,通过热效应实现组织凝固和坏死。无手术切口,避免瘢痕形成。最大限度减少正常组织损伤,适用于多灶性病变。

(图片来自网络)

(Schwartzberg et al., 2018 )

